Anbieter einloggen
Home
Newsletter
Registrieren Sie sich für unseren monatlichen Newsletter.
Ihre Adresse wird nicht an Dritte weitergegeben.
Zu unseren Datenschutz-Bestimmungen.

       

Produktbeschreibung
04.04.2025  |  2338x
Diesen Beitrag teilen
(Tracking)-Cookies von YouTube und Vimeo zulassen um Video anzusehen

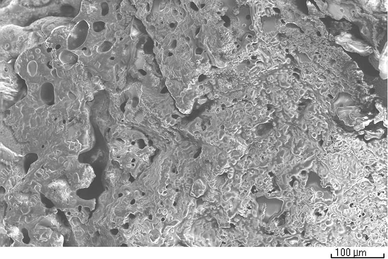
Oxidations­empfindliche und flüchtige Stoffe stabilisieren

Schutz für essentielle Öle, Carotinoide, Aromen und hydrophobe Stoffe und andere Aktivstoffe durch Mikroverkapselung

Hydrophobe Stoffe schützen und trocknen

Essentielle Öle, Carotinoide, Aromen oder auch hydrophobe Pflanzenstoffe sind auf Grund ihrer chemischen Struktur anspruchsvolle Kandidaten in Bezug auf Formulierung und Prozess. Derartige Substanzen sind meist extrem oxidationsempfindlich und sensitiv gegenüber höheren Temperaturen. Für viele Anwendungen werden diese Stoffe in fester Formulierung benötigt, beispielsweise in aromatisierten Tees und Dessertmischungen oder als essentielle Öle, geschmacksneutral und langzeitstabil als Zusatz in Babyfood.

Der Prozess der Mikroverkapselung verbindet das Einschließen hydrophober Stoffe in eine Matrix mit der Granulatbildung und Trocknung.

Im ersten Prozessschritt wird das Öl mit einem oxidationsschützenden Verkapselungsmaterial – wie modifizierten Stärken, Hydrokolloiden oder auch Proteinen – emulgiert und verkapselt. Die Stabilisierung der Emulsion hat einen entscheidenden Einfluss auf die Produktqualität. Sie verhindert, dass die Mikrokapseln im nachfolgenden Prozess zerstört werden. Der Inhalt der Kapseln bleibt so vor Oxidation geschützt.

Zur Trocknung mit moderaten Produkttemperaturen eignen sich besonders die Wirbelschichttechnologie und die Strahlschichttechnologie. Letztere punktet mit kürzeren Verweilzeiten. Beide Technologien ermöglichen die Erzeugung kompakter Granulate. Die Reduktion der Oberfläche und die dichte Matrix verringern die Angriffsfläche für Sauerstoff und verbessern die Langzeitstabilität. Der Einsatz von Stickstoff als Prozessgas ermöglicht eine weitere Optimierung der Produktqualität. Die Partikelgröße des Endproduktes ist – wie bei allen Sprühgranulationsprozessen – frei einstellbar.

Die Vielfalt an Prozessvarianten innerhalb der Wirbelschicht- und Strahlschichttechnologie bietet das ganze Spektrum von der Trocknung bis hin zum kontrollierten Freisetzen von Aktivstoffen.

Wir unterstützen Sie gerne bei der Realisierung ihrer Produktinnovationen. Im Glatt Technologiezentrum in Weimar ermitteln wir mit Ihnen in Machbarkeitsversuchen zur Produktentwicklung die optimalen Prozessbedingungen für Ihr Produkt. Dafür stehen verschiedene Laboranlagen und eine umfassende Analytik zur Verfügung. Auf unseren Pilotanlagen optimieren wir den Prozess und skalieren sicher in einen stabilen und ökonomischen Produktionsmaßstab. Die Ergebnisse hieraus bilden die Grundlage für die Planung und Konstruktion und die Errichtung Ihrer Wirbelschicht- oder Strahlschichtanlage, maßgeschneidert auf Ihre Anforderungen. Als Alternative zur eigenen Prozesstechnologie bieten wir Ihnen das Outsourcing Ihrer Produktion mittels Lohnfertigung bei Glatt.

Firmeninformation

Glatt Ingenieurtechnik GmbH
Glatt Ingenieurtechnik GmbH
Glatt ist spezialisiert auf intelligentes Partikeldesign zur Erzeugung und Funktionalisierung von Pulvern und Granulaten mit definiert einstellbaren Eigenschaften. Im Fokus stehen Partikel und Pulver für Pigmente, katalytische, keramische oder Batteriewerkstoffe sowie Granulate und Pellets als Zusatzstoffe für z. B. industrielle Salze, Wasch- und Reinigungsmittel, Düngemittel, Pestizide, Nahrungs-, Nahrungsergänzungs- und Arzneimittel. Eine Verkapselung von Aromen, Enzymen, Vitaminen, Mikroorganismen, Probiotika oder Fettsäuren (PUFA) ist dabei ebenso möglich wie die von ätherischen Ölen und anderen aktiven, sensiblen Substanzen, die es zu schützen gilt. Mit Glatt APPtec®, einer einzigartigen Technologie zur Sprühkalzination, ist es möglich, Partikel in einem einzigen Prozessschritt im pulsierenden Heißgasstrom zu erzeugen, zu beschichten und anschließend zu kalzinieren. Als Pionier für Wirbelschicht- und Strahlschicht-Technologien beherrscht Glatt diese wichtige Verfahren zur Formulierung und Optimierung der Partikeleigenschaften durch definierte Sprühagglomeration, Sprühgranulation, Sprühbeschichtung (Coating) oder (Mikro-)Verkapselung sowie durch Kombinationen dieser Prozesse. Auch im Hochtemperatur-Bereich. Glatt unterstützt die Produktidee von der frühen Phase der Produktrezeptur über die Prozessentwicklung bis hin zum Scale-up in den Produktionsmaßstab. So werden unter der Leitung der Glatt Process & Plant Engineering Teams maßgeschneiderte Produktionsanlagen für Lebensmittel-, Futtermittel-, Feinchemie-, Pharma- und Biotech-Applikationen erfolgreich geplant und in Betrieb genommen. Weltweit. Ob auf Basis von Pulversynthese, Wirbelschicht- oder Strahlschichttechnologie, Glatt bietet ebenfalls die zertifizierte Lohnherstellung für Kunden ohne eigene Produktionskapazitäten.
Letztes Update: 28.10.2025

Zugeordnete Messe

Zugeordnete Fachbeiträge

Von der Prozessentwicklung direkt in die Lohnfertigung Mit kurzer Time-to-Market: Partikel- und Funktionsdesign vom Wirbelschicht-Markführer
Von der Prozessentwicklung direkt in die Lohnfertigung
Mit kurzer Time-to-Market: Partikel- und Funktionsdesign vom Wirbelschicht-Markführer Die Kunden der Glatt Gruppe profitieren von gebündelter Expertise im Partikeldesign – vom ersten Machbarkeitsversuch, über das Scale-up, bis zur Validierung des Produktionsprozesses. Für jede Variante bietet Glatt passende Lösungen und realisiert bei Bedarf auch kundeneigene Verfahren. Lohnherstellung muss ganz unterschiedliche Anforderungen erfüllen. Es gibt Unternehmen, die ihre Produktion dauerhaft auslagern und permanent große Mengen abrufen. Andere benötigen flexible Produktionsslots, um stark schwankende Mengenbedarfe auszugleichen. Und oft existiert eine ausgereifte Produktidee, aber die Innovatoren verfügen nicht über die geeignete Technologie. Zur Herstellung und Veredlung fester Produktformulierungen sind dabei unterschiedlichste Aufgabenstellungen an der Tagesordnung: vom nanodispersen Pulver für High-Tech-Anwendungen, über matrixverkapselte Futter- und Lebensmitteladditive in Granulat- und Pelletform, bis hin zu Produkten mit modifizierter
08.07.2024  |  7187x  |  Fachbeitrag  |   | 
Verkapseln in zwei Schritten Schwer lösliche Polyphenole wie Curcumin technologisch in den Griff bekommen
Verkapseln in zwei Schritten
Schwer lösliche Polyphenole wie Curcumin technologisch in den Griff bekommen Funktionelle Inhaltsstoffe auf pflanzlicher Basis verhalten sich oft anders, als es für ihren Einsatz in Lebensmitteln, Getränken und Nahrungsergänzungsmitteln wünschenswert wäre. Innovative Verfahren wie die doppelte Mikroverkapselung können helfen, ihre Bioverfügbarkeit und Löslichkeit entscheidend zu verbessern. Kurkuma ist nicht nur als Gewürz in der kulinarischen Welt gefragt, es erfreut sich auch dank seiner positiven gesundheitlichen Eigenschaften stetig wachsender Beliebtheit.1 Sein funktioneller Inhaltsstoff, das Polyphenol Curcumin, wird auch als stark färbender, gelber Lebensmittelfarbstoff verwendet. Die medizinischen Eigenschaften der rhizomatischen, mehrjährigen Pflanze (Curcuma longa) aus der Familie der Ingwergewächse sind seit Jahrtausenden bekannt.2 In asiatischen Ländern wird Kurkuma traditionell als Heilpflanze verwendet, da es nicht nur antioxidative, entzündungshemmende und antimutagene Eigenschaften hat, sondern zusätzlich
09.04.2024  |  8352x  |  Fachbeitrag  |   | 
Anlagensicherheit mit Kundenblick Für den sicheren Betrieb von Prozessanlagen können Anlagenbauer mehr tun als ihre Pflicht
Anlagensicherheit mit Kundenblick
Für den sicheren Betrieb von Prozessanlagen können Anlagenbauer mehr tun als ihre Pflicht Anlagenbetreiber in Schüttgut verarbeitenden Industrien profitieren, wenn Anlagenbauer wie Glatt Ingenieurtechnik die Anlagen nicht nur entwickeln und bauen, sondern auch selbst betreiben. Die Lohnherstellung für Kunden schult den Blick für die Anforderungen, Pflichten und Herausforderungen der Betreiberseite. Produktsicherheit, Brand- und Explosionsschutz, Anlagen- und Bedienersicherheit sowie Umweltaspekte stehen automatisch deutlicher im Fokus. Aus der eigenen Praxiserfahrung heraus engagiert sich Glatt weit mehr für Sicherheitsaspekte als gesetzlich gefordert. Anlagenbauer und -betreiber haben viele Pflichten, die sich aus gesetzlichen Regelungen ergeben und auch teilweise überschneiden bzw. anteilig von beiden Parteien bearbeitet werden müssen. Für die Anlagenbauerseite seien exemplarisch Konformitätsverfahren wie die Risikoanalyse nach Maschinenrichtlinie oder die SIL-Betrachtung (Safety Integrity Level), die Umweltsicherheit in Form der TA-Luft oder
27.10.2023  |  7489x  |  Fachbeitrag  | 
Nutraceuticals: Sprühtrocknung versus Sprühgranulation Gewünschte Produkteigenschaften machen den Unterschied.  
Welches Verfahren ist besser für die Trocknung flüssigen Nutrazeutika?
Nutraceuticals: Sprühtrocknung versus Sprühgranulation
Gewünschte Produkteigenschaften machen den Unterschied. Welches Verfahren ist besser für die Trocknung flüssigen Nutrazeutika? Sollen flüssige Ausgangsprodukte in Schüttgüter überführt werden, wird sowohl das Verfahren der Sprühtrocknung als auch der Wirbelschichtsprühgranulation genutzt. Die Wahl der optimalen Technologie hängt davon ab, welche Partikeleigenschaften eingestellt werden müssen, um die spezifischen Anwendungen zu ermöglichen. Die Trocknung feststoffbeladener Flüssigkeiten überführt Produkte in eine leichter handhabbare Form und macht sie unter Umgebungstemperaturen lagerfähig. Die entstehenden Schüttgüter sind nicht nur stabiler als das Ausgangsmaterial, sondern haben auch ein geringeres Gewicht und Volumen, wodurch die Transport- und Lagerkosten sowie der Handhabungsaufwand sinken. Sprühtrocknung für große Mengen Um Flüssigkeiten möglichst schnell zu trocknen, eignet sich das Versprühen in einem heißen Luftstrom, also die Sprühtrocknung. Sie wird seit Jahrzehnten eingesetzt, um großvolumige Massenprodukte wie Milchpulver schnell und kostengünstig
29.08.2024  |  12556x  |  Fachbeitrag  |   | 
Auf den Punkt getrocknet – Thermische Verfahren in der Wirbelschicht Die Auswahl des richtigen Trocknungsverfahrens hängt von den jeweils vorliegenden Rahmenbedingungen ab und erfordert eine ganzheitliche Betrachtung.
Auf den Punkt getrocknet – Thermische Verfahren in der Wirbelschicht
Die Auswahl des richtigen Trocknungsverfahrens hängt von den jeweils vorliegenden Rahmenbedingungen ab und erfordert eine ganzheitliche Betrachtung. Wirbelschichttechnologien eignen sich ideal zur Durchführung von Wärme- und Stoffübergangsprozessen, die bei der Trocknung gefragt sind. Partikel können parallel zur Trocknung mittels Sprühgranulation, Sprühcoating oder Sprühagglomeration gleichzeitig wirtschaftlich veredelt und funktionalisiert werden. Die Auswahl des richtigen Trocknungsverfahrens ist herausfordernd: Sie hängt von den jeweils vorliegenden Rahmenbedingungen ab und erfordert eine ganzheitliche Betrachtung. In nahezu allen Wirtschaftszweigen dient die thermische Trocknung als essenzieller Prozess, um flüssige oder feuchte Rohstoffe in feste, trockene Produkte zu überführen. In der Regel wird dabei Wasser oder ein anderes Lösungsmittel durch Verdunstung oder Verdampfung aus dem Rohstoff entfernt. Die Auswahl des richtigen Trocknungsverfahrens ist herausfordernd: Sie hängt von den jeweils vorliegenden Rahmenbedingungen ab und erfordert eine ganzheitliche Betrachtung. Trocknen und dann? Klassische
02.03.2023  |  6977x  |  Fachbeitrag  |   | 
Sprüh (mikro) verkapselung von empfindlichen substanzen in Matrixform Eine Übersicht Über fallstudien zu Ätherischen Ölen und vitaminen
Sprüh (mikro) verkapselung von empfindlichen substanzen in Matrixform
Eine Übersicht Über fallstudien zu Ätherischen Ölen und vitaminen Phytochemikalien finden sich zunehmend in vielen Lebensmitteln, chemischen und landwirtschaftlichen Produkten. Die Produkt- und Prozessoptimierung wird in all diesen Branchen immer wichtiger, wobei der Schwerpunkt auf Qualität, Produktionseffizienz, Stabilität und Rezepturkosten liegt. Ätherische Öle sind flüchtige Substanzen mit relativ hohem Dampfdruck; sie sind oxidations- und lichtempfindlich und können ihre Eigenschaften bei direkter Einwirkung von Stressfaktoren verändern oder sogar verlieren. Wie andere empfindliche, flüchtige, geruchs- oder geschmacksintensive flüssige Wirkstoffe müssen sie deshalb vor der Umwelt geschützt werden oder umgekehrt. Zu diesem Schutz und zur Vereinfachung der Handhabung - aber auch zur besseren Dosierbarkeit und gezielten Abgabe - werden diese Substanzen daher zunehmend in verkapselter und/oder frei fließender Form angeboten und eingesetzt. Um Produkte mit einer kompakten Struktur zu versehen, können verschiedene
21.07.2021  |  13384x  |  Fachbeitrag  |   | 
Wirbelschichtsysteme: Konti, Batch, oder doch ein Hybrid? Glatt Baureihen mit Anlagenlösungen, die beide Arten der Prozessführung ermöglichen
Wirbelschichtsysteme: Konti, Batch, oder doch ein Hybrid?
Glatt Baureihen mit Anlagenlösungen, die beide Arten der Prozessführung ermöglichen Die Diskussion pro und contra kontinuierliche versus Batch-Produktion wird geführt, als gebe es nur diese beiden Alternativen. Dabei existieren mit den Baureihen von Glatt längst Anlagenlösungen, die beide Arten der Prozessführung ermöglichen. Ein Blick auf die Anforderungen von zwei Kunden zeigt, welche Fragestellungen wirklich maßgeblich sind. Die Vorteile einer Konti-Anlage sind unbestritten: Eine kontinuierliche Produktionsanlage liefert bei dauerhaftem Betrieb eine sehr gute, reproduzierbare Produktqualität mit einer extrem hohen Effizienz, da Prozessunterbrechungen durch Batchwechsel und Reinigungsintervalle entfallen. Für eine chargenweise Produktion sprechen kleine Mengen, häufige Produkt- und Rezepturwechsel, begrenzte Kampagniengrößen, Rückverfolgbarkeit oder längere Coating-Prozesse. Sobald jedoch kundenseitige Herstellbedingungen oder spezifische Produkteigenschaften in den Fokus rücken – meist der USP jedes Ingredient-Herstellers –,
15.07.2021  |  8859x  |  Fachbeitrag  |   | 
Trocknung und Produktgestaltung in der Vakuumwirbelschicht Trocken, haltbar, druckfest: Schonende und sichere Prozesse
zur Verarbeitung lösungsmittelhaltiger Extrakte und temperaturempfindlicher Substanzen
Trocknung und Produktgestaltung in der Vakuumwirbelschicht
Trocken, haltbar, druckfest: Schonende und sichere Prozesse zur Verarbeitung lösungsmittelhaltiger Extrakte und temperaturempfindlicher Substanzen Die Verarbeitung lösungsmittelhaltiger Extrakte und temperaturempfindlicher Substanzen wie Mikroorganismen oder Enzyme stellt hohe Anforderungen an Prozessbedingungen, Arbeitsschutz und Anlagensicherheit. Die Vakuumwirbelschicht-Technologie des Anlagenbauers Glatt ist eine weitere Möglichkeit, durch das Absenken des Siedepunktes bei reduzierten Systemdrücken noch temperaturschonendere Prozesse zu realisieren. Davon profitieren Lebendzellen, Produkte mit organischen Lösungsmitteln, aber auch Agglomerate mit hoher Festigkeit. Wässrige Prozesse und ihre Grenzen Die Wirbelschichttechnologie zeichnet sich durch einen exzellenten Wärme- und Stoffaustausch aus. Jedes einzelne Produktteilchen wird vom Prozessgas in die Schwebe gebracht, um eine perfekte Durchmischung und eine homogene Temperaturverteilung zu erzielen. Diese bekannten Vorteile der Konvektionstrocknung gegenüber Kontakttrocknern werden für temperaturempfindliche Produkte wie Hefen, Enzyme und andere
06.05.2025  |  14836x  |  Fachbeitrag  |   | 
Optimierung von funktionellen Inhaltsstoffen für bessere Ernährung Wirbelschicht- und Strahlschichtverfahren bieten den Herstellern nahezu unbegrenzte Möglichkeiten in Bezug auf ein optimiertes Partikeldesign und die Funktionalisierung von Inhaltsstoffen, deren Eigenschaften fein abgestimmt werden können.
Optimierung von funktionellen Inhaltsstoffen für bessere Ernährung
Wirbelschicht- und Strahlschichtverfahren bieten den Herstellern nahezu unbegrenzte Möglichkeiten in Bezug auf ein optimiertes Partikeldesign und die Funktionalisierung von Inhaltsstoffen, deren Eigenschaften fein abgestimmt werden können. Dieser Bericht ist nur in Englisch verfügbar Im Original veröffentlicht im Fachmagazin ’Innovations-in-Food-Technology’, Ausgabe 11/2020
12.05.2021  |  14443x  |  Fachbeitrag  |   | 
Sprühagglomeration pflanzlicher Milchalternativen  Mithilfe der Wirbelschicht-Sprühagglomeration lassen sich die Partikelgrößenverteilung, Partikelstruktur- und eigenschaften gezielt einstellen und verbessern.
Sprühagglomeration pflanzlicher Milchalternativen
Mithilfe der Wirbelschicht-Sprühagglomeration lassen sich die Partikelgrößenverteilung, Partikelstruktur- und eigenschaften gezielt einstellen und verbessern. Sprühagglomeration pflanzlicher Milchalternativen für perfekte Benetzungs- und Dispergiereigenschaften Pulvrige Substanzen bereiten beim Dosieren, Abfüllen und Transportieren oftmals Probleme durch hohen Staubanteil und schlechte Rieselfähigkeit. Eine schlechte Löslichkeit und mangelnde Dispergiereigenschaften beeinträchtigen die Anwendung des Endprodukts. Mithilfe der Wirbelschicht-Sprühagglomeration lassen sich die Partikelgrößenverteilung und Partikelstruktur gezielt einstellen und verbessern. Längst sind es nicht mehr nur Veganer oder von Laktoseintoleranz oder Allergien betroffene Verbraucher, die eine Alternative zur gewohnten Kuhmilch suchen. Der Verbrauch an pflanzlichen Milchersatzprodukten steigt jährlich. Einer Untersuchung des Instituts Research and Markets zufolge wird der globale Markt für pflanzliche Milchalternativen bis 2025 mit einer geschätzten jährlichen Wachstumsrate von bis zu 9,9 % weiter wachsen (vegconomist 2020). Die Marktanteile
01.08.2024  |  11777x  |  Fachbeitrag  |   | 
Vorausschauende Anlagenplanung Wie sich mit Pre-Engineering Ideen schneller zur Marktreife bringen lassen
Vorausschauende Anlagenplanung
Wie sich mit Pre-Engineering Ideen schneller zur Marktreife bringen lassen Um im Wettrennen um den Markterfolg neuer Produkte die Nase vorn zu haben, ist die Konzeptphase entscheidend. Der Anlagenbauer Glatt stellt durch Pre-Engineering Investitionsentscheidungen auf ein sicheres Fundament und ermöglicht, Teilprojekte vorzuziehen. Die Vorbereitung von Investitionsentscheidungen treibt F&E-Experten, Produktentwicklern und Gründern Schweißperlen auf die Stirn. Ihnen fehlt der Überblick über den Projektumfang und die Details. Sie sollen diffuse Risiken um zukünftige Betriebsabläufe einschätzen und die Wirtschaftlichkeit möglicher Alternativen vergleichen. Realistische Daten und Fakten zusammenzutragen, übersteigt dabei meist die Kapazitäten und mitunter auch das Know-how der mit der Vorbereitung beauftragten Mitarbeiter. Doch zu vage Annahmen und Schätzungen führen dazu, dass manche Weiche falsch gestellt und Potenziale nicht gehoben werden. Die Schlagzeilen ausufernder Projekte belegen eindringlich, wie kostspielig und imageschädigend
15.10.2020  |  7399x  |  Fachbeitrag  | 

Mehr Beiträge

Trocknung und Stabilisierung von Probiotika Erhöhung der Verfügbarkeit von bioaktiven Substanzen im Darm.
Schutzcoating erhöht Überlebensrate und setzt Bakterien gezielt frei
Trocknung und Stabilisierung von Probiotika
Erhöhung der Verfügbarkeit von bioaktiven Substanzen im Darm. Schutzcoating erhöht Überlebensrate und setzt Bakterien gezielt frei Trocknung, Verkapselung und Immobilisierung von Mikroorganismen Der gesundheitsfördernde Effekt von Probiotika wurde durch diverse Studien in den letzten Jahren belegt und ist unumstritten. Die Vielzahl von Nahrungsergänzungsmitteln aber auch angereicherter Lebensmittel ist ein Zeichen hierfür. Ziel all dieser Produkte ist die Ansiedelung der Mikroorganismen im Darm zur Unterstützung der vorhandenen Darmflora. Die Effizienz der Produkte, insbesondere die Zahl der überlebenden Mikroorganismen, ist hierfür entscheidend. Die Vielfalt an Bakterienstämmen, deren Temperaturempfindlichkeit und die spezifischen Anforderungen an ihr Milieu erlauben nur selten Standardlösungen. Die Organismen müssen nach der Fermentation in einen lagerstabilen Zustand überführt werden – in der Regel durch Gefriertrocknung. Mitunter sind auch andere Trocknungsverfahren erfolgreich. Die Trocknung und Stabilisierung von Mikroorganismen in der Wirbelschicht wurde in einer Case Study
19.02.2025  |  2527x  |  Produktbeschreibung  |   | 
Aktivstoffe kontrolliert freisetzen mit der richtigen Beschichtung Die richtige Beschichtung für Waschmittel, Salze, Fruchtsäuren und viele andere Produkte. Verbessern Sie die Funktionalität ihres Produktes durch eine kontrollierte Freisetzung.
Aktivstoffe kontrolliert freisetzen mit der richtigen Beschichtung
Die richtige Beschichtung für Waschmittel, Salze, Fruchtsäuren und viele andere Produkte. Verbessern Sie die Funktionalität ihres Produktes durch eine kontrollierte Freisetzung. Die kontrollierte Freisetzung von Wirkstoffen ist eine zentrale Aufgabe für die Formulierung von pharmazeutischen Darreichungsformen. Neben der Bioverfügbarkeit entscheidet die Freisetzung des Wirkstoffs aus der Tablette oder den Wirkstoffpellets über dessen Konzentration im Blut. Die Eigenschaften des Polymerfilmes, die pH-abhängige Löslichkeit, die Filmdicke oder die definierte Porosität sind nur einige der einstellbaren Parameter, um die gewünschte reproduzierbare Freisetzungskinetik zu erreichen. Der Schlüssel zum Erfolg liegt im richtigen Beschichtungsverfahren. Für anspruchsvolle Lösungen hat sich hier das Wurster-Coating in der Wirbelschicht etabliert. Funktionale Aktiv- oder Hilfsstoffe kommen mittlerweile auch in anderen Industriezweigen zur Anwendung. Bereits in der 90iger Jahren starteten Wasch- und Reinigungsmittelhersteller für die Einführung von Spülmaschinentabs erste Versuche mit der Coatingprozessen in der Wirbelschicht, um einzelne Komponenten
05.12.2024  |  2677x  |  Produktbeschreibung  |   | 
Von der Idee zum Markt mit funktionalen Granulaten Mit kurzer Time-to-Market von der Produkt- und Prozessentwicklung direkt in die Lohnfertigung oder zur eigenen Produktionsanlage
Von der Idee zum Markt mit funktionalen Granulaten
Mit kurzer Time-to-Market von der Produkt- und Prozessentwicklung direkt in die Lohnfertigung oder zur eigenen Produktionsanlage Treffen Sie das Glatt Team zur Vitafoods Europe 2024 in Genf am Stand L 173 Profitieren Sie von gebündelter Expertise im Partikeldesign – vom ersten Machbarkeitsversuch, über das Scale-up, Masterbatch bis zur Validierung des Produktionsprozesses. Für nahezu jede Anforderung bietet Glatt passende Lösungen. Sie haben eine Produktidee, verfügen jedoch nicht über die geeignete Technologie? Zur Herstellung und Veredlung fester Produktformulierungen unterstützen wir Sie bei unterschiedlichsten Aufgabenstellungen: vom nanodispersen Pulver für High-Tech-Anwendungen, über matrixverkapselte Nahrungsergänzungsmittel- und Lebensmitteladditive in Pulver, Granulat- und Pelletform, bis hin zu Produkten mit definierter Freisetzung von Aktivstoffen. Der Lohnherstellung oder der Anlagenkonstruktion geht immer eine Produkt- und Prozessentwicklung voraus. Die Glatt Prozessexperten stimmen dabei Formulierung und Prozess exakt aufeinander ab. Das verkürzt die Entwicklungszeit
06.05.2024  |  3046x  |  Kurzbericht  |   | 
Neue Wege zur Herstellung von Kosmetikpigmenten Interview mit Merck und Glatt über die Zusammenarbeit und das Projekt
Neue Wege zur Herstellung von Kosmetikpigmenten
Interview mit Merck und Glatt über die Zusammenarbeit und das Projekt Mit einer völlig neuen Technologie haben die Pigmentspezialisten von Merck und die Technologie- und Produktionsexperten von Glatt Ingenieurtechnik in enger Zusammenarbeit eine innovative Palette von Kosmetikpigmenten hergestellt. Die Darmstädter Merck Gruppe hat nach erfolgreichen gemeinsamen Versuchen am Glatt Standort Weimar den Auftrag für die Entwicklung und den Bau einer Anlage auf Basis der chemischen Gasphasenabscheidung (CVD) erteilt. Wir sprechen mit den Partnerunternehmen über die Zusammenarbeit und das Projekt. Interviewpartner: Dr. Katarzyna Sztuka ist derzeit Leiterin des regionalen Marketings EMEA bei Merck Electronics, Surface Solutions mit Erfahrung und Interesse in den Bereichen Kosmetik, Automobil und industrielle dekorative und funktionale Materialien. Mit einem Doktortitel in Chemie (Fachrichtung Biotechnologie) und einem Master in Chemieingenieurwesen verfügt sie über eine solide Grundlage sowohl im akademischen Bereich als auch in der
27.10.2023  |  2868x  |  Kurzbericht  | 
Schwer lösliche Polyphenole wie Curcumin technologisch beherrschen Innovative Verfahren wie die doppelte Mikroverkapselung können helfen, ihre Bioverfügbarkeit und Löslichkeit entscheidend zu verbessern.
Schwer lösliche Polyphenole wie Curcumin technologisch beherrschen
Innovative Verfahren wie die doppelte Mikroverkapselung können helfen, ihre Bioverfügbarkeit und Löslichkeit entscheidend zu verbessern. Funktionelle Inhaltsstoffe auf pflanzlicher Basis verhalten sich oft anders, als es für ihren Einsatz in Lebensmitteln, Getränken und Nahrungsergänzungsmitteln wünschenswert wäre. Innovative Verfahren wie die doppelte Mikroverkapselung können helfen, ihre Bioverfügbarkeit und Löslichkeit entscheidend zu verbessern. Kurkuma ist nicht nur als Gewürz in der kulinarischen Welt gefragt, es erfreut sich auch dank seiner positiven gesundheitlichen Eigenschaften stetig wachsender Beliebtheit.*1 Sein funktioneller Inhaltsstoff, das Polyphenol Curcumin, wird auch als stark färbender, gelber Lebensmittelfarbstoff verwendet. Die medizinischen Eigenschaften der rhizomatischen, mehrjährigen Pflanze (Curcuma longa) aus der Familie der Ingwergewächse sind seit Jahrtausenden bekannt.*2 In asiatischen Ländern wird Kurkuma traditionell als Heilpflanze verwendet, da es nicht nur antioxidative, entzündungshemmende und antimutagene Eigenschaften hat, sondern zusätzlich auch
08.06.2023  |  7668x  |  Produktnews  |   | 

Zugeordnete Fachthemen

PORTALS
Schuettgut-Portal BulkSolids-Portal Recycling-Portal
Related
Bulkgids.nl
Erhalten Sie unseren Newsletter
Newsletter Archiv
Service und Kontakt
Impressum, KontaktDisclaimerDatenschutzerklärungWerbung
FOLLOW US
Linked